Publicado por bebesymas.com
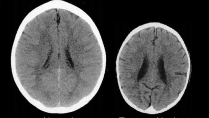
Aunque viendo esta imagen muchos pensaréis que se trata de dos niños de diferentes edades, la realidad (por desgracia) es que son de dos niños de tres años de edad con un cerebro muy diferente, no porque haya diferencias en el nacimiento, enfermedad o similar, sino porque mientras a uno lo han cuidado y querido, al otro no.
En resumidas cuentas, y ahora hablamos de ello, la imagen de la derecha muestra lo que le pasa al cerebro de un bebé, luego niño, cuando nadie lo atiende según sus necesidades.
Negligencia extrema
Según leemos en IFLScience, se trata de un niño que en su corta vida sufrió lo que se conoce como negligencia severa, o extrema, y privación sensorial. Vamos, algo que nadie en su sano juicio haría con sus hijos, porque para lograrlo tendría que tenerlo todo el día y la noche encerrado en una habitación sin nadie que le diera un mínimo de comunicación ni cariño, y con una nutrición inadecuada.
Esta imagen tan sorprendente, y que tanto nos duele porque imaginamos la vida que ha podido tener ese pequeño, proviene de un artículo del profesor Bruce D. Perry, jefe de psiquiatría del Texas Children’s Hospital, a la que se refiere con estas palabras:
La tomografía computarizada de la izquierda es una imagen de un niño sano de 3 años, con un tamaño de cabeza promedio. La imagen de la derecha es de un niño de 3 años que sufre de negligencia severa de cuidados y privación sensorial. El cerebro de este niño es significativamente más pequeño que el promedio y tiene los ventrículos agrandados y atrofia cortical.
La importancia de los primeros años en el desarrollo
Aunque algunos autores consideran que el tiempo que los niños pasan con los padres no es determinante en su desarrollo (probablemente porque consideran que si ellos no están, otros adultos los cuidarán), la realidad es que la primera infancia es muy importante porque es la época en la que se sientan las bases del mundo emocional de los niños, y con ello llega la comprensión de conceptos como empatía, solidaridad, afecto, felicidad, sufrimiento, alegría, etc.
No queremos decir con esto que a los tres años un niño ya comprende todo ello, sino que es entonces cuando empieza a sentirse involucrado en relaciones sociales que le provocarán diferentes sentimientos, y el modo de vivirlos o sentirlos irán dibujando su personalidad, su autoestima y su confianza en sí mismo, según sea su carácter, y según hayan sido las relaciones previas con sus padres.
Porque tal y como hablamos hace unos meses: los bebés que son más atendidos desde el principio tienden a tener más seguridad y confianza en sus capacidades y posibilidades, y los que son menos atendidos en sus llantos y reclamos, tienden a ser mucho más precavidos, temerosos y desconfiados.
Si además hay omisión de cuidados, falta de estímulos, poca atención por parte de los adultos, mala alimentación, la estructura física y el tamaño del cerebro pueden verse afectados. Ya hace unos años, el programa Redes emitió un documental imprescindible que explicaba, entre otras cosas, cómo aquellos adultos con menos autocontrol, más agresivos y con más estrés y ansiedad, eran el resultado, en gran parte, de una infancia de poca atención y poco cariño.
Los niños de los orfanatos de Rumanía
En los últimos años de la dictadura comunista en Rumanía se prohibieron los métodos anticonceptivos y el aborto. Esto provocó que miles de niños fueran abandonados en orfanatos, donde tuvieron una infancia terrible, con poco alimento y sin apenas cuidados.
El niño de la derecha de la imagen es uno de ellos, como tantos otros cientos de niños que han sido estudiados en un momento u otro y que han demostrado lo que todos imaginamos, que crecen con menos sustancia blanca que los niños normales, con afectación importante en las áreas de la atención, el procesamiento sensorial, la función ejecutiva y las regiones responsables de las emociones.
Como he dicho unas líneas más arriba, hay que hacerlo muy mal como padres para llegar a conseguir una afectación así, de modo que para extrapolarlo a nuestros hijos, a nuestros niños, solo tenemos que pensar en lo más básico: el cariño y el amor son muy importantes para los niños, como lo son para todos nosotros, los adultos. Por eso cuando un bebé llora, debemos acudir siempre que nos sea posible para que se sienta atendido y reconfortado, y así hasta que crezca y simplemente deje de llorar.
Y los niños no tienen que dejar de llorar porque descubren que no los vamos a atender, como sugieren muchos médicos, psicólogos y otros profesionales cuando nos dicen que los tenemos que ir dejando llorar “para que aprendan” a estar sin nosotros, sino por todo lo contrario: porque los hemos atendido tanto de bebés, y les hemos enseñado tanto de niños, que llega un día en el que ya no nos necesitan del mismo modo, y lo que era un problema cuya solución era nuestra presencia y contención, pasa a ser un problema que ellos mismos ya saben solucionar, porque han aprendido con nosotros y se sienten seguros y capaces de hacer las cosas sin ayuda.



